Сучасна стоматологія пропонує безліч рішень для відновлення зубів, проте саме цирконієві коронки впевнено займають лідерські позиції серед пацієнтів і лікарів. Важливо зазначити, що цирконієві коронки — це не лише естетика, а й інноваційний підхід до протезування, який поєднує довговічність, комфорт і природний вигляд. Завдяки своїм унікальним властивостям цей матеріал дозволяє відновити навіть сильно пошкоджені зуби без компромісів у якості та зовнішньому вигляді.
Що таке цирконієві коронки
Цирконієві коронки виготовляються з діоксиду цирконію — міцного та біосумісного матеріалу, який активно використовується в медицині. Його головна особливість — висока міцність при відносно невеликій вазі, що робить такі коронки максимально комфортними для пацієнта.
Основні характеристики матеріалу:
- висока стійкість до навантажень
- відсутність алергічних реакцій
- природний білий колір
- довгий термін служби
Естетика, наближена до натуральних зубів
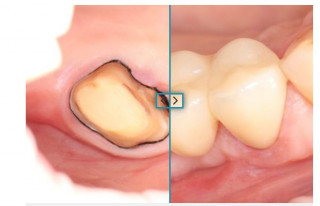
Однією з ключових причин популярності цирконієвих коронок є їхній зовнішній вигляд. Вони максимально імітують структуру та колір натуральної емалі, що особливо важливо для передніх зубів.
Переваги естетики:
- прозорість, подібна до природної емалі
- відсутність темного обідка біля ясен
- можливість точного підбору відтінку
Цирконієві коронки в Crystal Dent — це міцність, що виглядає як натуральні зуби, і саме це робить їх ідеальним вибором для тих, хто цінує не лише функціональність, а й естетику усмішки.
Цирконієві коронки: міцність і довговічність
Діоксид цирконію відомий своєю винятковою міцністю. Такі коронки витримують значні жувальні навантаження, не тріскаються і не деформуються з часом.
Чому це важливо:
- підходять для жувальних зубів
- не потребують частого заміщення
- зберігають форму навіть після років використання
Біосумісність і безпека
Цирконій є гіпоалергенним матеріалом, що робить його безпечним для більшості пацієнтів. Він не викликає подразнень і добре взаємодіє з тканинами ясен.
Переваги для здоров’я:
- мінімальний ризик алергії
- відсутність металевого присмаку
- швидка адаптація після встановлення
Комфорт у повсякденному житті
На відміну від металокерамічних аналогів, цирконієві коронки не викликають дискомфорту при температурних змінах. Вони не реагують на гаряче чи холодне, що забезпечує природні відчуття під час їжі.
Основні плюси:
- комфорт при жуванні
- відсутність чутливості
- легкість конструкції
Мінімальне втручання в зуб
Для встановлення цирконієвих коронок часто потрібно менше обточування зуба, ніж для інших видів протезів. Це дозволяє зберегти більше природних тканин.
Що це дає:
- менше травмування зуба
- краща довгострокова перспектива
- зниження ризику ускладнень
Висновок
Цирконієві коронки — це сучасне рішення, яке поєднує в собі естетику, міцність і безпеку. Вони підходять як для відновлення передніх, так і жувальних зубів, забезпечуючи комфорт і довговічний результат. Завдяки своїм властивостям цей вид протезування стає оптимальним вибором для тих, хто прагне отримати природну усмішку без компромісів.

.jpg)