Сучасна естетична стоматологія пропонує чимало способів покращити зовнішній вигляд усмішки, але вініри для зубів вже багато років залишаються одним із найпопулярніших рішень. Їх часто асоціюють із «ідеальними» усмішками акторів і публічних людей, проте сьогодні ця технологія стала доступною значно ширшому колу пацієнтів. Водночас навколо вінірів існує чимало міфів і завищених очікувань. Щоб ухвалити зважене рішення, важливо чітко розуміти, що таке вініри, у яких випадках вони справді доцільні та з якими мінусами може зіткнутися пацієнт.
Що таке вініри і для чого їх встановлюють
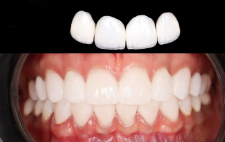
Вініри — це тонкі накладки, які фіксуються на передній поверхні зубів з метою покращення їхнього зовнішнього вигляду. Найчастіше вони виготовляються з кераміки або композитних матеріалів. Основне завдання вінірів полягає не у виправленні прикусу чи положення зубів, а саме в естетичній корекції.
За допомогою вінірів можна змінити колір зубів, зробити їх візуально рівнішими, закрити щілини, скоригувати форму та довжину. Саме тому цей метод часто обирають пацієнти, які незадоволені своєю усмішкою, але не мають серйозних функціональних проблем.
Основні переваги вінірів
Однією з головних причин популярності вінірів є швидкий і прогнозований результат. На відміну від ортодонтичного лікування, яке може тривати роками, встановлення вінірів дозволяє отримати помітні зміни за відносно короткий час. Уже після завершення лікування усмішка виглядає рівною, світлою та гармонійною.
Ще однією важливою перевагою є висока естетика, особливо у випадку керамічних вінірів. Вони максимально наближені до природних зубів за прозорістю та відблиском, не змінюють колір з часом і виглядають дуже натурально. Для багатьох пацієнтів це принципово важливо, адже результат має бути не лише красивим, а й непомітним для оточення.
Вініри також можуть бути виходом у ситуаціях, коли відбілювання не дає бажаного ефекту. Наприклад, при зміні кольору емалі через травми, пломбувальні матеріали або внутрішні дефекти зуба. У таких випадках вініри дозволяють досягти рівномірного кольору, який складно або неможливо отримати іншими методами.
Психологічний ефект і впевненість у собі
Не варто недооцінювати й психологічний аспект. Для багатьох людей усмішка безпосередньо пов’язана з упевненістю в собі, комунікацією та самосприйняттям. Після встановлення вінірів пацієнти часто відзначають, що перестають соромитися усміхатися, охочіше фотографуються й почуваються комфортніше в соціальних ситуаціях.
Саме цей ефект іноді стає вирішальним аргументом на користь вінірів, особливо якщо зовнішній вигляд зубів тривалий час був джерелом внутрішнього дискомфорту.
Недоліки та обмеження вінірів
Попри очевидні переваги, вініри мають і свої мінуси, про які важливо знати заздалегідь. Один із ключових моментів полягає в тому, що встановлення вінірів у більшості випадків є необоротною процедурою. Для їх фіксації стоматолог зазвичай знімає тонкий шар емалі. Після цього повернутися до початкового стану зубів уже неможливо.
Також слід враховувати, що вініри не вирішують функціональних проблем. Якщо у пацієнта є неправильний прикус, бруксизм або значні зміщення зубів, встановлення вінірів без попереднього лікування може призвести до їх передчасного пошкодження. У таких випадках ортодонтичне або комплексне лікування є необхідним етапом.
Термін служби та догляд
Ще одним важливим аспектом є обмежений термін служби вінірів. Хоча керамічні накладки можуть служити багато років, вони не є вічними. З часом може знадобитися заміна через зношення, сколи або зміну стану власних зубів і ясен.
Вініри потребують уважного ставлення. Хоча вони досить міцні, надмірні навантаження, звичка гризти тверді предмети або ігнорування нічних кап при бруксизмі можуть скоротити термін їх служби. Регулярні огляди у стоматолога та професійна гігієна є обов’язковими умовами для збереження результату.
Фінансовий бік питання
Вартість вінірів для багатьох пацієнтів стає серйозним фактором. Якісні керамічні вініри потребують індивідуального виготовлення, високої кваліфікації лікаря та зубного техніка, що безпосередньо впливає на ціну. Це не разова процедура, а довгострокова інвестиція, яку варто ретельно обдумати.
При цьому дешевші альтернативи не завжди виправдовують очікування. Низька якість матеріалів або недостатній досвід лікаря можуть призвести до неестетичного результату або необхідності переробки.
Кому вініри підходять найкраще
Вініри є хорошим вибором для пацієнтів із відносно здоровими зубами та яснами, правильним або компенсованим прикусом і чітким запитом на естетичне покращення. Вони не замінюють лікування, а доповнюють його, створюючи гармонійний зовнішній вигляд.
У випадках, коли основна проблема полягає в положенні зубів або функції жування, вініри можуть бути лише частиною комплексного плану або зовсім не рекомендовані.
Зважене рішення замість імпульсивного вибору
Вініри — це ефективний і сучасний інструмент естетичної стоматології, але не універсальне рішення для всіх. Їхні плюси очевидні: швидкий результат, висока естетика та позитивний вплив на самооцінку. Водночас мінуси у вигляді необоротності, вартості та вимог до догляду вимагають усвідомленого підходу.
Перед прийняттям рішення важливо пройти детальну консультацію, оцінити всі альтернативи та зрозуміти, чи відповідають вініри саме вашим очікуванням і клінічній ситуації. Лише такий підхід дозволяє отримати не просто красиву усмішку, а стабільний і безпечний результат на довгі роки.
